Dislocated Fractures of the Ankle
12/1/2025
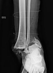
Compilation of interesting X-rays of Fractures of the ankle with dislocation, multiples types of lesions.






Compilation of interesting X-rays of Fractures of the ankle with dislocation, multiples types of lesions.


-
Terms and Conditions-
Privacy Policy-
Payments Policy-
Disclaimer-
Refunds & Return Policy-
Contact UsKunda Box Corp, All rights Reserved
Comments